Dr. Bennett A. Thomas, DDS and Associates
A Great Dentist

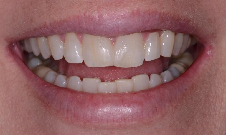
Smile Gallery: Cosmetic Dentistry

Every day we help our wonderful patients enjoy healthier, more attractive smiles. Using a wide array of treatments and services, we will customize your smile makeover, whether it's a simple filling or a set of porcelain veneers.

Please take a look at some of the transformations we've created for our patients, then call us to arrange a dental exam so we can get started!

Getting an appointment is fast and easy!
Smile Gallery Categories
Cindy S.

Dr. Thomas is a very dedicated and professional.  It is very obvious that dentistry is his passion.  His greatest attribute is that he is a perfectionist -- just what you want from your dentist!!

If you have difficulty using our website, please email us or call us at (757) 548-3238
View the ADA Accessibility Statement
Privacy Policy